Production of the recombinant hemagglutinin protein of the swine influenza virus A/H1N1 and analysis of its physicochemical and antigenic properties
https://doi.org/10.32362/2410-6593-2025-20-2-107-118
EDN: QVQVOC
Abstract
Objectives. To analyze the physicochemical and antigenic properties of recombinant hemagglutinin protein of swine influenza virus strain A/H1N1 (swH1-His) obtained by transduction of suspension line HEK293 with recombinant human adenovirus serotype 5.
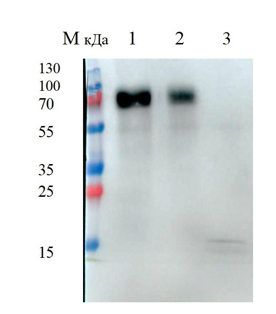
Methods. The de novo assembly of the target hemagglutinin gene was performed via the polymerase chain reaction. Recombinant adenovirus recAd5-swH1-His was obtained using the AdEasy™ Adenoviral Vector System kit. Accumulation of preparative amounts of recombinant protein was performed by transduction of recAd5-swH1-His suspension culture of HEK293 cells in a wave-type bioreactor. Recombinant hemagglutinin was isolated from the culture medium by metal-chelate affinity purification on a sorbent. The actual molecular mass and its correspondence to the expected value, as well as the presence of histidine residues were shown by electrophoresis and Western blot. The antigenic specificity of swH1-His was determined by indirect enzyme-linked immunosorbent assay with specific sera.
Results. Recombinant hemagglutinin swH1-His was obtained in the amount of 1.2 mg from 50 mL of culture fluid. The compliance of its mass with the declared molecular mass (≈70 kDa) was confirmed along with the presence of cross-linking with histidine residues. The antigenic specificity of swH1-His in reaction with sera was demonstrated.
Conclusions. The physicochemical and antigenic characteristics of recombinant protein hemagglutinin of swine influenza A/H1N1 (swH1-His) obtained by transduction of HEK293 cells with recombinant human adenovirus of serotype 5 were determined. The obtained recombinant hemagglutinin can be used as an antigen for animal and human influenza diagnostic purposes.
Keywords
About the Authors
E. D. AvdoninaRussian Federation
Elena D. Avdonina, Junior Researcher, Laboratory of Molecular Biotechnology
18, Gamaleya ul., Moscow, 123098
Competing Interests:
The authors declare no conflicts of interest
K. A. Pervoykina
Russian Federation
Kristina A. Pervoykina, Junior Researcher, Laboratory of Molecular Biotechnology
Scopus Author ID 57698990900
18, Gamaleya ul., Moscow, 123098
Competing Interests:
The authors declare no conflicts of interest
L. V. Verkhovskaya
Russian Federation
Ludmila V. Verkhovskaya, Cand. Sci. (Biol.), Leading Researcher, Laboratory of Molecular Biotechnology
18, Gamaleya ul., Moscow, 123098
Competing Interests:
The authors declare no conflicts of interest
D. N. Shcherbinin
Russian Federation
Dmitriy N. Shcherbinin, Cand.Sci. (Biol.), Researcher, Laboratory of Molecular Biotechnology
Scopus Author ID 36599350900, ResearcherID E-7682-2014
18, Gamaleya ul., Moscow, 123098
Competing Interests:
The authors declare no conflicts of interest
N. Yu. Viskova
Russian Federation
Natalia Yu. Viskova, Researcher, Laboratory of Molecular Biotechnology
18, Gamaleya ul., Moscow, 123098
Competing Interests:
The authors declare no conflicts of interest
I. S. Kruzhkova
Russian Federation
Irina S. Kruzhkova, Infectious Disease Specialist; Researcher
63, Volokolamskoye sh., Moscow, 125367
18, Gamaleya ul., Moscow, 123098
Competing Interests:
The authors declare no conflicts of interest
M. A. Ilina
Russian Federation
Maria A. Ilina, Head of the Moscow Center for Chronic Infectious Diseases, Tick-Borne Infections, Travel Medicine and Vaccine Prevention
63, Volokolamskoye sh., Moscow, 125367
Competing Interests:
The authors declare no conflicts of interest
L. V. Kudriavtseva
Russian Federation
Larisa V. Kudriavtseva, Head of Laboratory and Diagnostic Department
63, Volokolamskoye sh., Moscow, 125367
Competing Interests:
The authors declare no conflicts of interest
L. V. Kolobukhina
Russian Federation
Lyudmila V. Kolobukhina, Dr. Sci. (Med.), Professor, Head of the Laboratory of Respiratory Viral Infections with Drug Testing; Infectious Disease Specialist, Infectious Diseases Clinical Hospital No. 1, Moscow City Health Department
Scopus Author ID 6601956811
18, Gamaleya ul., Moscow, 123098
63, Volokolamskoye sh., Moscow, 125367
Competing Interests:
The authors declare no conflicts of interest
M. M. Shmarov
Russian Federation
Maksim M. Shmarov, Dr. Sci. (Biol.), Head of the Laboratory of Molecular Biotechnology
Scopus Author ID 6507322279, ResearcherID D-8662-2014
18, Gamaleya ul., Moscow, 123098
Competing Interests:
The authors declare no conflicts of interest
N. A. Antipyat
Russian Federation
Natalya A. Antipyat, Deputy Chief Physician for Medical Affairs
Scopus Author ID 57207693166
63, Volokolamskoye sh., Moscow, 125367
Competing Interests:
The authors declare no conflicts of interest
A. L. Gintsburg
Russian Federation
Alexander L. Gintsburg, Full Member of the Russian Academy of Sciences, Dr. Sci. (Biol.), Professor, Director; Head of the Department of Infectology and Virology, I.M.Sechenov First Moscow State Medical University (Sechenov University)
Scopus Author ID 7005111491
18,Gamaleya ul., Moscow, 123098
8-2, Trubetskaya ul., Moscow, 119991
Competing Interests:
The authors declare no conflicts of interest
I. N. Tyurin
Russian Federation
Igor N. Tyurin, Chief Physician
Scopus Author ID 56895933300
63, Volokolamskoye sh., Moscow, 125367
Competing Interests:
The authors declare no conflicts of interest
References
1. Becker T., Elbahesh H., Reperant L.A., Rimmelzwaan G.F., Osterhaus A.D.M.E. Influenza Vaccines: Successes and Continuing Challenges. J. Infect. Dis. 2021;224(12 Suppl. 2): S405–S419. https://doi.org/10.1093/infdis/jiab269
2. Lim M.L., Komarasamy T.V., Adnan N.A.A.B., Radhakrishnan A.K., Balasubramaniam V.R.M.T. Recent Advances, Approaches and Challenges in the Development of Universal Influenza Vaccines. Influenza Other Respir. Viruses. 2024;18(3):e13276. https://doi.org/10.1111/irv.13276
3. Jang Y.H., Seong B.L. The Quest for a Truly Universal Influenza Vaccine. Front. Cell. Infect. Microbiol. 2019;9:344. https://doi.org/10.3389/fcimb.2019.00344
4. Sautto G.A., Kirchenbaum G.A., Ross T.M. Towards a universal influenza vaccine: different approaches for one goal. Virol. J. 2018;15(1):17. https://doi.org/10.1186/s12985-017-0918-y
5. Wang W.-C., Sayedahmed E.E., Sambhara S., Mittal S.K. Progress towards the Development of a Universal Influenza Vaccine. Viruses. 2022;14(8):1684. https://doi.org/10.3390/v14081684
6. Tsybalova L.M., Stepanova L.A., Kotlyarov R.Yu., Blokhina E.A., Shuklina M.A., Mardanova E.S., KorotkovA.V., Potapchuk M.V., Ravin N.V. Strengthening the effectiveness of the candidate influenza vaccine by combining conserved sequences of hemagglutinin and M2 protein. Epidemiologiya i Vaktsinoprofilaktika = Epidemiology and Vaccine Prophylaxis.2017;16(3):65–70 (in Russ.). https://doi.org/10.31631/2073-3046-2017-16-3-65-70
7. Sychev I.A., Kopeikin P.M., Tsvetkova E.V., Cheredova K.V., Mil’man B.L., Shamova O.V., Isakova-Sivak I.N., Desheva Yu.A. Induction of cross-reactive antibodies in mice immunized with conserved influenza A virus neuraminidasederived linear B-cell epitopes. Infektsiya i immunitet = Russ. J. Infection and Immunity. 2021;11(3):463–472 (in Russ.). https://doi.org/10.15789/10.15789/2220-7619-IOC-1343
8. Croset A., Delafosse L., Gaudry J.-P., Arod C., Glez L., Losberger C., Begue D., Krstanovic A., Robert F., Vilbois F., Chevalet L., Antonsson B. Differences in the glycosylation of recombinant proteins expressed in HEK and CHO cells. J. Biotechnol. 2012;161(3):336–348. https://doi.org/10.1016/j.jbiotec.2012.06.038
9. Schütz A., Bernhard F., Berrow N., Buyel J.F., Ferreira-daSilva F., Haustraete J., van den Heuvel J., Hoffmann J.-E., de Marco A., Peleg Y., Suppmann S., Unger T., Vanhoucke M., Witt S., Remans K. A concise guide to choosing suitable gene expression systems for recombinant protein production. STAR Protoc. 2023;4(4):102572. https://doi.org/10.1016/j.xpro.2023.102572
10. Tan E., Chin C.S.H., Lim Z.F.S., Ng S.K. HEK293 Cell Line as a Platformto Produce Recombinant Proteins and Viral Vectors. Front. Bioeng. Biotechnol. 2021;9:796991. https://doi.org/10.3389/fbioe.2021.796991
11. Young L., Dong Q. Two-step total gene synthesis method. Nucleic Acids Res. 2004;32(7):e59. https://doi.org/10.1093/nar/gnh058
12. Sedova E.S., Shcherbinin D.N., Bandelyuk A.S., Verkhovskaya L.V., Viskova N.Yu., Avdonina E.D., Prokofiev V.V., Ryabova E.I., Esmagambetov I.B., PervoykinaK.A., BogachevaE.A., LysenkoA.A., ShmarovM.M. Method for obtaining recombinant antibodies produced by a cell line transduced with recombinant adenoviruses. Tonk. Khim. Tekhnol. = Fine Chem. Technol. 2023;18(1):48–64. https://doi.org/10.32362/2410-6593-2023-18-1-48-64.
Supplementary files
|
|
1. Immunoreplica of purified swH1-His protein | |
| Subject | ||
| Type | Исследовательские инструменты | |
View
(273KB)
|
Indexing metadata ▾ | |
- A recombinant human adenovirus of the fifth serotype expressing the haemagglutinin gene of swine influenza type A strain H1N1 (swH1-His) was designed and produced.
- The recombinant swH1-His protein was purified from the culture medium using the Ni-agarose batch method (protein yield was 1.2 mg from 50 mL of culture fluid).
- Analysis of the resulting recombinant protein showed consistency with the reported (≈70 kDa) molecular mass and confirmed the authenticity of the cross-linking to histidine.
- The antigenic specificity of the recombinant swH1-His protein in indirect ELISA with specific sera was not lower than that of the proprietary commercial haemagglutinin.
Review
For citations:
Avdonina E.D., Pervoykina K.A., Verkhovskaya L.V., Shcherbinin D.N., Viskova N.Yu., Kruzhkova I.S., Ilina M.A., Kudriavtseva L.V., Kolobukhina L.V., Shmarov M.M., Antipyat N.A., Gintsburg A.L., Tyurin I.N. Production of the recombinant hemagglutinin protein of the swine influenza virus A/H1N1 and analysis of its physicochemical and antigenic properties. Fine Chemical Technologies. 2025;20(2):107-118. https://doi.org/10.32362/2410-6593-2025-20-2-107-118. EDN: QVQVOC






















